

Nazywam się Marlena Biel, jestem lekarzem dentystą i prowadzę swój własny gabinet dentystyczny oraz pracuję w docenianym przez pacjentów gabinecie w Centrum Medycznym Severux w Chorzowie. Jestem absolwentką kierunku lekarsko-dentystycznego na Śląskim Uniwersytecie Medycznym w Katowicach oraz studiów podyplomowych z zakresu Medycyny estetycznej na Śląskiej Wyższej Szkole Medycznej w Katowicach. Pracowałam również jako asystent dydaktyczny w Zakładzie Protetyki Stomatologicznej Wydziału Nauk Medycznych w Zabrzu Śląskiego Uniwersytetu Medycznego w Katowicach, przekazując swoją wiedzę studentom polsko- i anglojęzycznym.
Czytaj więcej















Poczekalnia z dostępem do wifi
Możliwość płatności kartą
Przypomnienie sms o wizycie
Kącik dla dzieci w poczekalni
Numer telefonu
+48 451 555 251
Adres e-mail
bieldent.gabinet@gmail.com
Lokalizacja
Ul. Zwycięstwa 16, 43-624, Tąpkowice
Nowoczesny gabinet stomatologiczny, który naprawdę warto odwiedzić! Choćby ze względu na efekty po:) Pani doktor z pełnym zaangażowaniem, empatią, dokładnością i cierpliwością przeprowadziła przebieg mojego leczenia, który do tego okazał się bezbolesny :) ...
Po wizycie u Pani Doktor zęby są zdrowe i BIELutkie!
Serdecznie polecam! Jeśli czujesz strach przed dentystą to Marlena zakończy Twoje koszmary i sprawi, że wizyta będzie przyjemnym i relaksującym doświadczeniem bez bólu i dyskomfortu ♥️ Kilka dni temu usuwałyśmy dwie górne ósemki. Przy samym zabiegu kompletnie nic nie czułam, a następnego dnia zastanawiałam się o co tyle szumu i strachu, bo nie spuchłam ani nie bolało na tyle, żeby jakkolwiek utrudniało mi normalne funkcjonowanie. Czułam się wspaniale przyjęta i zaopiekowana 💕
Zdecydowanie polecam. Syn bardzo zadowolony z wizyty. Pyta kiedy ponownie jedziemy😅
Zaangażowanie, profesjonalizm,super podejście do pacjenta czego chcieć więcej....
Pani doktor przemiła, sympatyczna, wszystko bezboleśnie, szybko i sprawnie. Polecam i na pewno jeszcze się spotkamy 😊
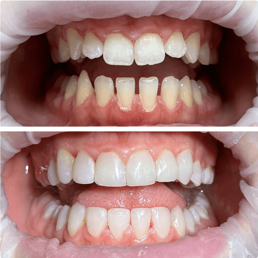
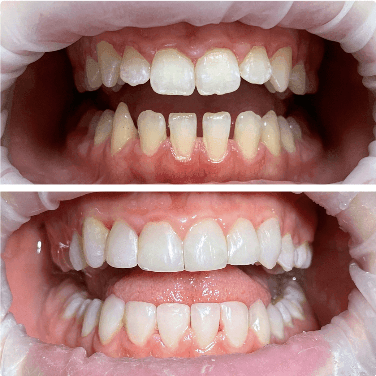
Korzystałam z usług nie tylko stomatologicznych ale także z kilku zabiegów medycyny estetycznej. Jestem zachwycona! Po pierwsze moja diastema - przerwa między zębami już nie istnieje, buzia jest promienna, nigdy niczego się nie obawiam, dzięki podejściu mojej pani doktor. Polecam każdemu i zawsze chętnie wracam po zdrowy uśmiech i wygląd. Dziękuję!
Należę do grupy "tych trudnych" pacjentów u dentysty. Mimo to wizyty u Pani Marleny to czysta przyjemność i strach też mniejszy ;). W dodatku ma fantastyczne podejście do tych najmłodszych pacjentów. Jest cierpliwa i ciepła. Córki po każdej wizycie (oswajamy się z dentystą) są zachwycone, a ja jako rodzic również. Odpowie na każde pytanie, kontakt bezproblemowy. Pełen profesjonalizm :). Zdecydowanie polecam!
Cudowna Pani doktor. Wyrwanie 8mki to przyjemność. Miałam okazję skorzystać także z bondingu- pełen profesjonalizm. Jakoś na najwyższy poziomie. Usługi medycyny estetycznej także polecam. Jestem bardzo zadowolona. ❤️
Lekarz z powołania. Z dużym pietyzmem podchodzi do wykonywanych zabiegów. Przystępnym językiem tłumaczy zdiagnozowany problem i obrany kierunek leczenia. W gabinecie panuje bardzo miła atmosfera. Gorąco polecam dr Marlenę Biel.
Bardzo polecam, Pani Marlenka to kobieta, która z pasją i precyzyjnością wykonuje swoją pracę. Jestem bardzo zadowolona z wykonywanych usług. Przemiła atmosfera w gabinecie.